lunes, 22 de noviembre de 2010

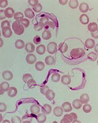
PARASITO SANGUÍNEO ANAPLASMA Y TRIPANOSOMA

     





AGENTE ETIOLOGICO
La tripanosomiasis bovina es una enfermedad parasitaria crónica caracterizada clínicamente por caquexia progresiva, fiebre intermitente, anemia y trastornos de la locomoción.
Su agente etiológico, el Trypanosoma vivax ZIEMANN


La anaplasmosis de los bovinos es una enfermedad infecciosa producida por Anaplasma marginale, rickettsia perteneciente al genogrupo II del complejo Ehrlichial, que parasita únicamente los eritrocitos maduros, produciendo anemia hemolítica, pérdida de producción, abortos y muerte. Es transmitida en forma natural por dípteros hematófagos, garrapatas además de las vías iatrogénica y congénita.
La anaplasmosis bovina está ampliamente distribuida en áreas tropicales y subtropicales del mundo donde causa severas pérdidas económicas a los sistemas de producción de leche y de carne. Es considerada una enfermedad en expansión hacia áreas templadas del mundo. En nuestro país el área de ocurrencia de la  de latitud sur, aunque su°enfermedad, se encuentra al norte del paralelo 33 distribución no es uniforme. Esta zona incluye aproximadamente 22 millones de bovinos. Al sur de este límite ocurren brotes esporádicos de anaplasmosis, debido al traslado de bovinos infectados desde el norte del país a zonas libres de la enfermedad. En 1994 en Argentina se estimaron en US$ 12 millones las pérdidas directas causadas por la anaplasmosis en zonas enzoóticas.



CARACTERISTICAS
La enfermedad se caracteriza por hipertermia, palidez de las mucosas, ictericia, aborto y muerte. En los casos más graves se observan síntomas nerviosos por anoxia cerebral y tendencia al decúbito. La orina puede ser oscura debido a los pigmentos biliares, pero no se observa hemoglobinuria. En vacas en lactancia se registra un marcado descenso de la producción láctea que junto a la disminución del apetito son generalmente las primeras manifestaciones que se observan.
Durante la necropsia se observa espleno y hepatomegalia, repleción de la vesícula biliar, y esporádicamente puede haber ruptura de bazo, con la formación de un gran coágulo abdominal. Lesiones degenerativas del parénquima hepático, esplénico y renal se observan mediante el análisis histopatológico y es característico el acumulo de hemosiderina.
Los bovinos que se recuperan de la etapa aguda permanecen infectados persistentemente. Las técnicas de biología molecular, permitieron demostrar que en portadores crónicos de A. marginale se producen ciclos continuos de ricketsemia con intervalos aproximados a 5 semanas. Éstas alcanzan valores que oscilan entre el 0,1% y 0,0000001% o menores, de eritrocitos parasitados.

MORFOLOGÍA Y FUNCIONALIDAD

Estos microorganismos se presentan en formas bacilares, cocoides o pleomórficas, presentando paredes típicas de bacterias gramnegativas con ausencia de flagelos. Las formas bacilares son cortas, mientras que las cocoides se presentan aisladas, en pares, cadenas cortas o en filamentos).
Estas bacterias tienden a ser muy pequeñas, teniendo un diámetro de 0.3 a 0.5 um. y una longitud de 0.8 a 2.0 um. Estos agentes teñidos son fáciles de visualizar con el microscopio de luz. Con la tinción de Giemsa muestran color azul, con la de Macchiavello color rojo en contraste con el citoplasma teñido de azul que las rodea

 AFECTA
ADP por ATP de la célula hospedero, de tal forma que la célula puede aportar gran parte de la
energía necesaria para el crecimiento intracelular.
Según las investigaciones por (Poitut et al,2005) y ( Hoyos, 2005) las especies de anaplasma que se han encontrado en caninos son Anaplasma phagocytophilum y Anaplasma platys. La A. phagocytophila afecta principalmente perros, ovejas, bovinos, visones y humanos e infecta a neutrófilos, eosinófilos y monocitos. Y la A. platys afecta naturalmente a perros e infecta únicamente plaquetas; sin embargo las dos especies pueden llegar a infectar eritrocitos, leucocitos y plaquetas. Este género presenta mórulas no fibrilares y las mitocondrias así como el retículo endoplasmático no contactan con la membrana de la mórula


PATOGENIA
La patogénesis principalmente se da por la destrucción de células infectadas por la replicación de la bacteria. La destrucción endotelial resulta de un escape de sangre y un subsecuente daño tisular de los órganos y una pérdida de sangre en estos espacios. La respuesta inmunitaria es importante par la recuperación en la infección


SINTOMAS PARASITARIAS SANGUINEAS BABESIA

    





AGENTE ETIOLOGICO
El agente causal de la Babesiosis es la Babesia. Existen más de 40 especies de Babesia y solo algunas pocas pueden infectar al hombre

La Babesiosis es una enfermedad sanguínea parasitaria de los animales. El parásito habita y destruye las células rojas de la sangre. La enfermedad se sabe ocurre mundialmente y que aproximadamente 70 de las diferentes especies de la familia protozoa, Babesia, afectan a diferentes animales y aves. En los Estados Unidos, Babesia microti, la clase encontrada en los roedores ha sido identificada como causante de la enfermedad en los humanos

INDIVIDUOS ALOS QUE ATACA
A perros, gatos, vacas, equinos


En Caninos puede ser:
Algunos síntomas típicos de la Babesiosis incluyen: depresión, debilidad, anorexia, mucosas pálidas, ictericia, fiebre. La forma hiperaguda se presenta en perros jóvenes. En infecciones crónica se observa: apetito caprichoso, fiebre intermitente, pérdida de condición física.
En Gatos:
La Babesiosis afecta a gatos menores de 2 años y hay: inapetencia, de bilidad

BABESIOSIS EN EL HOMBRE
La enfermedad clínica es poco frecuente. No se han presentado muchos casos en el mundo. Aunque en algunos estudios se comprobó gran cantidad de casos asintomáticos. Con ciertas especies de babesia, la enfermedad se puede presentar como muy grave y hasta mortal en personas a las cuales se ha tenido que extraer el bazo.
 CICLO VITAL
El ciclo vital de B. microti envuelve dos huéspedes, usualmente un roedor y una garrapata. La explicación puede seguirse en la figura de abajo.
  • Etapas en el roedor (ciclo A derecha en la figura). Los esporozoitos se introducen en el flujo sanguíneo del roedor mediante una picadura de la garrapata (1). Los esporozoitos entran en los eritrocitos, convirtiéndose en trofozoitos. Comienza una etapa de reproducción asexual (gemación) que libera en la sangre merozoitos, la mayoría de los cuales infectan nuevos eritrocitos (2). En la sangre, algunos merozoitos se diferencian en gametos masculinos y femeninos, aunque estos no pueden diferenciarse al microscopio óptico (3).
  • Etapas en la garrapata (ciclo A izquierda). Cuando una garrapata pica a un roedor infectado, los gametos se fusionan en el intestino de la garrapata dando lugar a un zigoto. Los zigotos, a su vez, se convierten en oocinetos móviles que entran en las glándulas salivares de la garrapata (5). Comienza un ciclo de esporogonia que da como resultado nuevos esporozoitos, que pueden volver a ser inyectados en un roedor por la picadura de la garrapata.
  • Etapas en el humano (ciclo B). Los seres humanos entran en el ciclo cuando son picados por garrapatas infectadas. A través de la picadura se introducen esporozoitos en la sangre (6). Al igual que en el roedor, los esporozoitos entran en los eritrocitos convirtiéndose en trofozoitos y mediante gemación se forman los merozoitos (7). La multiplicación en la sangre es la responsable de los síntomas clínicos de la enfermedad. Los seres humanos son, a efectos prácticos, un callejón sin salida para el parásito, pues la probabilidad de que una misma persona vuelva a ser picada por otra garrapata es muy pequeña. Sin embargo, podría producirse una transmisión persona a persona a través de una transfusión de sangre (8)
  • .
    ALGUNOS FACTORES EN LOS BOVINOS
    Analizando los casos presentados, como hipótesis para determinar las fuentes de infección para ganado propio de la Sabana se pueden mencionar: las larvas de garrapatas infectadas que llegan en el heno ó larvas que se originan de garrapatas adultas presentes en bovinos procedentes de zonas enzoóticas y que cumplen su ciclo biológico en el medio como una muestra de una adaptación al “clima frío“.
    Varios factores se pueden considerar para que el diagnóstico clínico de la enfermedad en algunas ocasiones no sea oportuno: no estamos familiarizados con la enfermedad; se tiene como concepto general que la Babesiosis es una patología de los climas medios y cálidos; y la severidad de la enfermedad con muertes en las primeras 24 horas pueden hacer pensar en patologías diferentes.

DIAGNOSTICO DE LA ENFERMEDAD
La enfermedad se diagnostica con el hallazgo de anemia y trombocitopenia y la presencia de parásitos dentro de los glóbulos rojos en el hemograma completo. En casos dudosos se puede utilizar la serología sanguínea. El tratamiento de la enfermedad se escoge en función del cuadro clínico. Si el cuadro es severo hay que actuar con urgencia y establecer fluidoterapia intravenosa e incluso transfusión en caso de anemia severa. Si el animal está estable se utilizan fármacos para eliminar el parásito. La forma de prevención principal de esta enfermedad es el tratamiento contra las garrapatas.


CARACTERÍSTICAS DE LA ENFERMEDAD
La babesiosis bovina es un complejo infeccioso formado por
dos enfermedades producidas por microorganismos del género
Babesia. Una es la enfermedad causada por Babesia bovis que se
caracteriza por producir una patología hematológica y
neurológica, con signos nerviosos que la hacen parecerse a la
malaria cerebral en humanos; y esta forma es la más grave de la
babesiosis bovina. La otra forma es la producida por B. bigemina
La babesiosis canina es una enfermedad parasitaria producida por un protozoo que parasita a los glóbulos rojos sanguíneos. El parásito se transmite mediante la picadura de la garrapata. Los perros

EL TRATAMIENTO

 de elección en la actualidad es tratar la parasitosis con antiparasitarios específicos (Dipropionato de Imidocarb y Aceturato de Diminazeno ) y una correcta terapia de sostén.
Como profilaxis de la enfermedad se recomienda control estricto de garrapatas tanto sobre el perro como en el ambiente donde este habita y el control de roedores.
 EN BOVINOS
La babesiosis es una enfermedad del ganado bovino transmitida por garrapatas y causada por los
parásitos protozoarios Babesia bovis,


vacuna
Vacuna ANABASAN, presentación comercial en recipientes plásticos
para criopreservación.

 
 

PARASITO DISTOMATOSIS

 

AGENTE ETIOLÓGICO:
Fasciola hepatica
Parásita conductos biliares de oveja, cabra, vaca, cerdo, liebre, conejo, castor, elefante, caballo, perro, gato, etc. En los hospedadores infrecuentes como es el caso del hombre y el caballo, se encuentra en pulmón, bajo la piel y otros órgan



PATOGENIA:
Las manifestaciones patológicas dependen del número de metacercarios ingeridos. Durante el paso por la pared intestinal o cavidad abdominal no provocan ningún cambio apreciable, provocando lesiones más importantes en el hígado, parénquima o en los conductos biliares.

Se divide en forma aguda y crónica.
1)    Forma Aguda: Es menos frecuente que la crónica y se observa casi exclusivamente en la oveja.

2) Forma Crónica:
Es la forma más frecuente y la consecuencia más importante es una fibrosis hepática y colangitis hiperplásica. La migración de los vermes da origen a destrucción de parénquima hepático, hemorragias y necrosis. La migración da lugar a la formación de trombos en venas hepáticas y sinusoides y obstrucción del flujo sanguíneo provocando necrosis isquémica y coagulativa del parénquima hepático. Se observa fibrosis en los tractos fibróticos del lóbulo ventral del hígado y en los canales portales, las arterias hepáticas se engrosan y presentan un aspecto tortuoso.

ANIMALES  SUSEPTIBLES

 Puede afectar a cualquier mamífero como bovino, ovino y caprino




NOMBRE DEL PARASITO
Fasciola, conocido con el nombre vulgar de "saguaypé" es una de las enfermedades parasitarias que afecta a nuestra
La "distomatosis hepática" o "fasciolosis" de los rumiantes, producida por un trematodo denominado
hepatica
ganadería y que ofrece mayores dificultades en los aspectos referentes al diagnóstico clínico y parasitológico, para
indicar su tratamiento adecuado

Prevención y control no químicos de infecciones de Cooperia

Los gusanos de este género no son de los más dañinos pero suelen aparecer junto a otros que sí lo son y que se comportan de modo similar. Por ello, las prácticas de manejo para prevenir o reducir las infecciones con gusanos gastrointestinales ayudarán también a controlar helmintos del género Cooperia.
Hay que considerar que los gusanos de este género son de los más difíciles de eliminar de los pastos, pues son muy resistentes a las condiciones ambientales adversas. Pueden invernar en pastos en las regiones frías, lo que asegura la reinfección del ganado la primavera siguiente. Las larvas inhibidas también pueden sobrevivir el invierno en hospedadores


TRATAMIENTOS
RESTRICCIONES DE USO
Bovinos: No sacrificar animales para consumo humano hasta haber transcurrido 35 días del último tratamiento. No aplicar en animales en lactación, ni dentro de los 35 días antes del parto, cuando la leche se destine para consumo humano.
Ovinos: No sacrificar animales para consumo humano hasta haber transcurrido 28 días del último tratamiento. No aplicar en animales en lactación, ni dentro de los 28 días antes del parto, cuando la leche se destine para consumo humano.

APLICACION
Inyectable
Aviso Legal:
“Los contenidos de este sitio son incluidos solo a titulo informativo y de ninguna manera deben emplearse para la utilización de los productos veterinarios aquí publicados.
La información para el uso de los mismos es proporcionada por el fabricante junto con el producto, por lo que no se asume ninguna responsabilidad respecto errores u omisiones en los contenidos aquí publicados.”

Bagomectina AD3E Forte


DESCRIPCION
Antiparasitario interno y externo vitaminizado de acción sostenida inyectable para bovinos y ovinos.

COMPOSICION
Ivermectina:    1 g.
Vitamina A (palmitato):    8, 85 g (150.000 UI/ml).
Vitamina D3:    0,06 g (22.500 UI/ml).
Vitamina E:    1,5 g (15 mg/ml).
Excipientes c.s.p.:    100 ml.

Las DISTOMATOSIS son todas las enfermedades producidas por los Trematodos Digénidos. Distinguimos tres tipos de Distomatosis (según el microhábitat de parasitación):
a)       Hepáticas
a)          Pulmonares
       Intestinales




Agua. Es un elemento de gran importancia en vista de la condición de anfibios de estos caracoles, por lo que fue señalada por Taylor (1965), como uno de los cuatro factores que condicionan la presencia de la especie congenerica presente en Europa L.truncatula . Sin embargo, debemos destacar que estos limneidos tienen la capacidad de entrar en diapausa hasta por un año (Leimbacher,1975) . En efecto, bajo condiciones de laboratorio se demostró que L.cubensis puede resistir hasta 8 meses en ausencia de agua (Vergani,1955). Para detectar zonas distomatósicas, bajo nuestras condiciones ambientales, más importante que la información pluviométrica es la localización de los microhabitat con humedad permanente, como los bordes de acequias, márgenes de riachuelos de corriente lenta y en zonas de manantial (Morales y Pino, 1992). Estos limneidos requieren de sitios bien oxigenados y sin putrefacción.
Características del suelo.
Luz.
PREVENCIÓN Y CONTROL
1.    Profilaxis:Controlar los caracoles mejorando el drenaje del terreno, diques y filtración. Aplicar molusquicidas. Aplicar un esquema de tratamiento a los animales en forma periódica y efectiva
2.   
3.   
4.   
5.    TRATAMIENTO:
6.   
o    Puede tratar de eliminarse el caracol, pero sólo es posible en campos donde existan pocas fuentes de agua. Se emplea sulfato de cobre, que puede colocarse en pequeñas bolsas de arpillera, para que su liberación sea lenta dentro del flujo de agua.
o     
7.    PREVENCION:
8.   
o    Todos los factores que inciden en el ciclo de vida del parásito y en su transmisión deben de ser estudiados en cada caso para poder establecer medidas racionales de prevención y control de la enfermedad.
o    La clave es proteger al máximo a los animales jóvenes, que son lo más susceptibles, a través de técnicas de manejo (que no pastoreen campos cercanos a cuerpos de agua), desparacitaciones estratégicas y control de la población de caracoles a través del uso de químicos.


 
La posibilidad de la entrada de luminosidad en los habitat constituye una condición fundamental, ya que las microalgas cianofíceas y cloroficeas, que le sirven de alimento a estos moluscos, requieren de una adecuada radiación ultravioleta para su crecimiento ( Leimbacher,1975). Por consiguiente, es muy difícil encontrar estos moluscos en lugares muy sombreados
Los limneidos anfibios requieren de suelos que retengan la humedad, preferentemente con textura arcillosa (Taylor,1965). En cuanto a la composición química, es muy importante la presencia de altos contenidos de calcio en vista de los requerimientos para la formación de la concha (Taylor, 1965; Euzeby, 1971); sin embargo, L. cubensis se desarrolla adecuadamente en condiciones naturales en suelos con contenido medio en Calcio (Pino y Morales, 1982).
 

PARASITO INTERNO COPERIA

 


AGENTE ETIOLÓGICO:
Los hospedadores principales de Cooperia (Cooperia curticei, Cooperia punctata, Cooperia pectinata, Cooperia onchophora) son bovinos, ovinos caprinos y varios rumiantes salvajes. Se dan en todo el mundo pero son más abundantes en regiones tropicales y subtropicales


ESPECIES QUE AFECTAN




MOSCA TABANO

   


AGENTE ETIOLÓGICO
. Nombre científico tabunos bovino
Orden. Dípteros
Familia: taba nidos
Los tábanos, pertenecen a la familia de los Tabanidae, que a su vez pertenecen al órden Diptera, donde también están las moscas. O sea que los tábanos están muy emparentados con las moscas; por ejemplo una características que tienen en común es que sólo poseen un par de alas funcionales, a diferencia de los demás insectos alados que tiene dos pares


Habitad en campos de pastoreos, parques,  jardines y linderos de bosques
Costumbres especies  terrestres  y  diurna
Alimentación sangre de bovinos o equinos, también de aves y néctar de las flores
Los tábanos machos son nectarívoros  y se alimentan del néctar de las flores
Los tábanos hembras se alimentan de sangre para madurar los huevos, son animales hematófagos


Individuos a los que afectan  a  ciervos y  equinos burros caprinos

Tábano
Es un insecto de la orden de los dípteros bien conocido por el dolor que causa su picadura. Sólo las hembras pueden picar para alimentarse de sangre, los machos se nutren de jugos vegetales. Las larvas se depositan en suelos empapados de agua, donde se alimentan de otros insectos.
Los tábanos atacan las zonas descubiertas de sus víctimas no importándoles si éstas los descubre o no. La picadura es dolorosa y deja enrojecida la zona afectada, causando inflamación, enrojecimiento y picazón. Su aparato bucal es suficientemente fuerte y largo como para atravesar la piel de burros y caprinos.

TRATAMIENTO:

Los tábanos son ectoparásitos chupadores de sangre difíciles de tratar por el hecho de que se alimentan de manera intermitente y por lo tanto no pasan el tiempo sufiente sobre el hospedador para ser afectados por una sustancia química. Lo más recomendable es utilizar repelentes comerciales en dosis elevadas o interrumpir el ciclo del parásito para evitar su multiplicación

HOSPEDADORES

normalment en equinos, bovinos,caprinos,ovinos y animales domesticos.

NOMBRE DEL PARASITO

Se le llama "Miasis" (gusaneras):
Infecciones originas por las larvas de moscas.

Ejemplo:

El TÁBANO (Tabanidae):

MOSCA LUCILIA CERICATA

 



EL AGENTE ETIOLÓGICO
 de esta parasitosis externa son las larvas de la especie Lucilla sericata cuya clasificación taxonómica es:
Phylum: Arthropoda
Clase: Insecta
Orden: Diptera
Suborden: Cyclorhapha
Superfamilia: Muscoidea
Familia: Calliphoridae
Género: Lucilla
Especie: Lucilla sericata
Sinonimia: Phaenicia sericata



INDIVIDUOS ALOS QUE AFECTAN
Los hospedadores de la larva de esta mosca son exclusivamente los ovinos.

LECCIONES QUE OCACIONA

La larva de la mosca Lucilla sericata produce una miasis muy difundida entre los lanares del mundo, que causa malestar e irritación en los mismos y una lesión erosiva en la piel. A este tipo de miasis se la denomina cutánea ulcerosa.miasis cutanea es una enfermedad causada por la larva de la mosca Dermatobia homidis. La distribucion de esta enfermedad es en zonas calidas, humedas y cuya altura no supere los 1000 metros. Los sintomas mas comunes se presentan como una aparente infeccion en la piel persistente
CICLO BIOLÓGICO
El ciclo total dura aproximadamente de 3 semanas a 2 meses, dependiendo de la temperatura y de la humedad. Es más corto en verano que en invierno.
La hembra atraída por el “olor a la cascarria”, deposita los huevos en la zona
perineal de los ovinos. Puede poner en grupos de 80 a 400 por vez. Y tarda sólo 16 horas para que de ellos emerja la larva 1 que sufre mudas a larva 2 y larva 3 en el tejido subcutáneo del hospedador. Permanece sobre él entre 5 y 10 días, luego cae al suelo, se transforma en pupa o crisálida y dependiendo de la temperatura, en 1 a 4 semanas salen los adultos (imagos).
A las pocas horas de haber nacido, las hembras comienzan a alimentarse y un día después copulan. 2 días después empiezan a depositar los huevos
.


TRATAMIENTO
Consiste en la extracción de los parásitos por medio de pinzas con posterior aplicación de desinfectantes. Antes y después de esta operación se debe aplicar algún fármaco que mate las larvas. A continuación se enumeran algunas de las drogas que pueden ser utilizadas

NOMBRE DEL PARASITO

MOSCA STOMOXYS CALCITRON




AGENTE ETIOLÓGICO:
Las moscas del establo (Stomoxys calcitrans) o moscas bravas son parásitos del ganado muy extendidos en todo el mundo
Nombre específico: Stomoxys calcitrans(L.)
Familia: Muscidae
 
INDIVIDUOS A LOS QUE AFECTA

Son muy comunes en explotaciones de bovinos (sobre todo lecheras y de engorde), en establos porcinos y aviares, pero atacan a cualquier animal de sangre caliente (mulas, caballos, ovejas, perros, gatos, pollos, etc.) incluido el hombre.


LECCIONES QUE OCACIONAN
Las moscas del establo causan daños económicos substanciales. Son las más perjudiciales para las explotaciones bovinas lecheras y de engorde (feed-lots) en todo el mundo. La producción lechera puede bajar hasta el 60%. El umbral de daño económico se ha establecido en unas 25 moscas por animal. Infestaciones de unas 50 moscas por ternero disminuyen los incrementos de peso en hasta 1 kg diario.
Se sospecha que las moscas del establo transmiten la anaplasmosis. Dado que visitan a muchos hospedadores diferentes, pueden actuar como vectores mecánicos de enfermedades virales y bacterianas, p.ej. del virus de la fiebre aftosa.
 Esto hace que el contacto con los mosquicidas sea a menudo fugaz e insuficiente para matar a las moscas. Además, en el ganado bovino, las patas de las reses –que son uno de sus lugares preferidos para picar– son la parte del cuerpo donde menos duran los mosquicidas aplicados: porque las reses entran en el agua (pozas, ríos, etc.) y pierden más rápido el producto, o porque la hierba de los pastos lo elimina por abrasión, etc. Pero de ordinario no presentan problemas de resistencia.

BIOLOGÍA Y CICLO VITAL DE LA MOSCA DEL ESTABLO
Las moscas adultas alcanzan 5 a 7 mm de largo. Se las encuentra sobre todo en las patas, en los flancos y en el lomo de las reses. Machos y hembras chupan sangre 2 o 3 veces al día, cada vez durante unos cinco minutos. Cuando no están chupando sangre suelen descansar fuera del hospedador, posadas en las paredes u objetos próximos a los hospedadores, o "tomando el sol" en épocas más frías. Las moscas adultas pueden volar distancias de hasta 40 kilómetros.
El máximo estacional tiene lugar en primavera y verano, pero puede haber adultos durante todo el año. El ciclo vital dura de 25 a 40 días. Cada hembra pone unos 600 huevos en paquetes de 25 a 100 sobre materiales orgánicos en descomposición, a poder ser de origen vegetal: balas de paja en descomposición, pozos de ensilaje, estiércol de caballo o vaca mezclado con paja y orina, etc., rara vez en excremento puro. Una mosca adulta vive de 2 a 10 semanas. Inviernan en forma de pupa, pero los adultos pueden soportar temperaturas bajas.

    1. HOSPEDADOR
    2. Bovinos
    • Equinos
    • Humanos



  • TRATAMIENTOS
    ASUNTOL POLVO MOJABLE AL 50%

    tiene la capacidad de abherirse a la capa gruesa de la piel

    TIGUVON SPOT ON AL 20%
    es un insecticida organo fosforado de accion sistematica donde se absorve



    NOMBRE DEL PARASITO
    Grandes estrongylos
    A esta parasitosis también se le llama arteritis verminosa cuando se encuentra su fase larvaria. Los parásitos más comunes de este grupo son:
    Strongylus vulgaris
    S. equinus
    S. edentatus
    Estos parásitos afectan a los caballos de todas las edades y se encuentran alojados principalmente en el intestino grueso y se alimentan de sangre, sin embargo, las larvas pueden migrar a otros órganos y al abdomen, así como a venas y arterias importantes. Esto trae como consecuencia: anemias, trombos, aneurismas y cólicos recurrentes en los caballos infestados